saprklingsmile.in

Smile Design

Smile Design

Smile Design

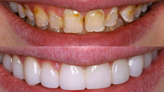
Your smile is one of the first things people notice about you. At Sparkling Smile Dental Clinic in Chinchwad, Dr. Shruti Madkar specializes in Smile Design treatments that enhance your natural beauty, boost your confidence, and create the perfect smile you’ve always desired.

Our customized Smile Design services combine art and advanced dental technology to improve the aesthetics, alignment, and overall appearance of your teeth.

Smile Design

Your smile is one of the first things people notice about you. At Sparkling Smile Dental Clinic in Chinchwad, Dr. Shruti Madkar specializes in Smile Design treatments that enhance your natural beauty, boost your confidence, and create the perfect smile you’ve always desired.

Our customized Smile Design services combine art and advanced dental technology to improve the aesthetics, alignment, and overall appearance of your teeth.

What is Smile Design?

Smile Design is a comprehensive cosmetic dental treatment plan that focuses on improving the harmony, balance, and attractiveness of your smile. It involves analyzing facial features, gum lines, and teeth proportions to create a smile that complements your personality and facial aesthetics.

At Sparkling Smile Dental Clinic, we offer personalized Smile Design treatments in Chinchwad that focus on both beauty and function.

Treatments Included in Smile Design

Our Smile Design services in Chinchwad include a combination of advanced cosmetic procedures such as:

  • Teeth Whitening – Brighten your smile by removing stains and discoloration.

  • Dental Veneers and Laminates – Correct chipped, stained, or uneven teeth.

  • Dental Crowns and Bridges – Restore damaged teeth and maintain a natural look.

  • Tooth-Colored Fillings – Replace old fillings with aesthetically pleasing materials.

  • Gum Contouring – Reshape gums for a balanced and attractive smile.

  • Orthodontic Treatments – Align crooked or misaligned teeth for a perfect smile.

Each Smile Design plan is carefully crafted by Dr. Shruti Madkar to suit your unique dental needs and facial structure.

Benefits of Smile Design

  • Improves the overall appearance of your smile

  • Enhances self-esteem and confidence

  • Corrects dental imperfections like gaps, discoloration, and uneven teeth

  • Restores balance between lips, teeth, and gums

  • Long-lasting aesthetic results

When you choose Smile Design at Sparkling Smile Dental Clinic, Chinchwad, you’re investing in a smile that enhances your personality and self-assurance.

The Smile Design Process

  1. Consultation and Digital Analysis – A detailed discussion and digital assessment of your smile.

  2. Treatment Planning – Customized design plan by Dr. Shruti Madkar based on your goals.

  3. Cosmetic Procedures – Step-by-step enhancement of your teeth and gums.

  4. Final Evaluation – Ensuring perfect symmetry, color, and harmony of your new smile.

Our approach focuses on precision and perfection, ensuring that your new smile is both beautiful and natural.

Visit Sparkling Smile Dental Clinic for Smile Design in Chinchwad

If you’re looking for the best Smile Design treatment in Chinchwad, visit Sparkling Smile Dental Clinic. Let Dr. Shruti Madkar help you achieve the radiant and confident smile you deserve.

Book your consultation today to begin your smile transformation journey.

Scroll to Top