Composite Filling
Composite Fillings
Composite Filling
At Sparkling Smile Dental Clinic in Chinchwad, we understand that maintaining a healthy, beautiful smile is important. Dr. Shruti Madkar, a skilled and experienced dentist, offers advanced Composite Filling treatments to repair decayed, cracked, or damaged teeth while preserving their natural look and function.
Our Composite Fillings blend seamlessly with your teeth, offering both strength and aesthetics for a long-lasting and confident smile.
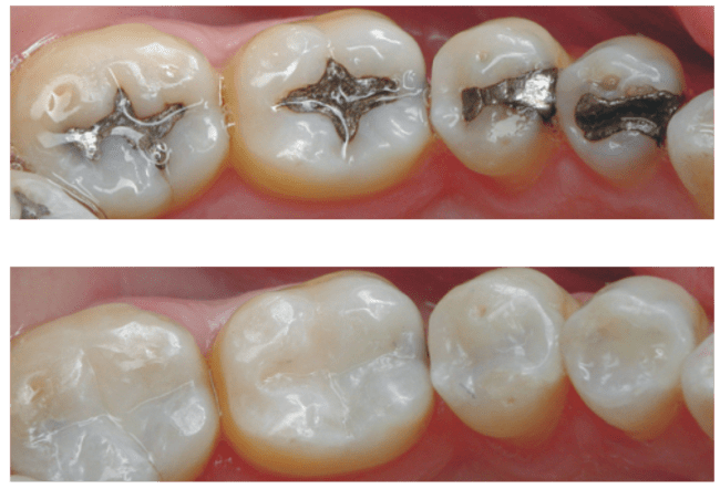
Composite Fillings
At Sparkling Smile Dental Clinic in Chinchwad, we understand that maintaining a healthy, beautiful smile is important. Dr. Shruti Madkar, a skilled and experienced dentist, offers advanced Composite Filling treatments to repair decayed, cracked, or damaged teeth while preserving their natural look and function.
Our Composite Fillings blend seamlessly with your teeth, offering both strength and aesthetics for a long-lasting and confident smile.
What is a Composite Filling?
A Composite Filling is a tooth-colored resin material used to restore decayed or damaged teeth. Unlike traditional silver (amalgam) fillings, composite fillings match the natural shade of your teeth, making them nearly invisible.
At Sparkling Smile Dental Clinic, Chinchwad, we use the latest materials and bonding techniques to ensure your filling looks natural, feels comfortable, and provides durable protection for your tooth.
When Do You Need a Composite Filling?
Dr. Shruti Madkar may recommend a Composite Filling if you have:
Tooth decay or cavities
Chipped or broken teeth
Worn-down enamel due to grinding or habits
Old metal fillings that need replacement
Minor gaps between teeth
Composite fillings are ideal for restoring front or back teeth, combining durability with excellent cosmetic results.
Benefits of Composite Fillings
Choosing Composite Fillings in Chinchwad at Sparkling Smile Dental Clinic provides several advantages:
Natural tooth-colored appearance
Strong bonding to tooth structure
Mercury-free and safe material
Preserves more of the natural tooth compared to amalgam
Long-lasting and stain-resistant results
Suitable for both front and back teeth
These fillings are a perfect choice for patients who want effective restoration without compromising aesthetics.
The Composite Filling Procedure at Sparkling Smile Dental Clinic
At Sparkling Smile Dental Clinic, Dr. Shruti Madkar ensures a comfortable and precise Composite Filling treatment through the following steps:
Examination and Diagnosis – Detailed assessment of the affected tooth using modern diagnostic tools.
Tooth Preparation – Removal of decay and cleaning of the cavity area.
Composite Application – Layer-by-layer placement of the tooth-colored composite resin.
Curing and Shaping – Hardening of the filling with a special light and contouring it for a perfect fit.
Polishing – Finishing touches to give your tooth a natural shine and smooth texture.
The entire procedure is quick, painless, and designed to restore your smile efficiently.
Aftercare Tips for Composite Fillings
To maintain the longevity of your Composite Filling, follow these simple tips:
Practice regular brushing and flossing
Avoid biting hard objects like ice or pens
Schedule routine dental check-ups
Limit consumption of staining beverages like coffee or tea
Report any sensitivity or discomfort immediately
With proper care, your composite filling can last for many years, providing both protection and beauty.
Visit Sparkling Smile Dental Clinic for Composite Fillings in Chinchwad
If you are looking for reliable and aesthetic Composite Filling treatment in Chinchwad, visit Sparkling Smile Dental Clinic today. Dr. Shruti Madkar and her team are dedicated to restoring your teeth with precision, comfort, and care.
Schedule your appointment today to experience natural-looking dental restoration.